본문 바로가기

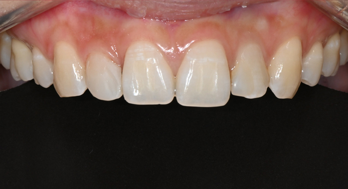
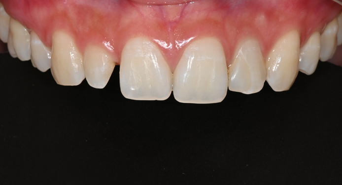
미소의 완성도를 높이는 심미보철

3D 디지털 스캔 기술력과 맞춤디자인으로 완성

자연 치아를 닮은 정밀 맞춤 보철

서울오브치과병원은
3D 스캔과 디지털 디자인 기술을 활용해 개인의 치아와 조화로운 보철물을 제작합니다. 맞춤 디자인과 디지털 장비 세팅으로 미소의 완성도를 높입니다.
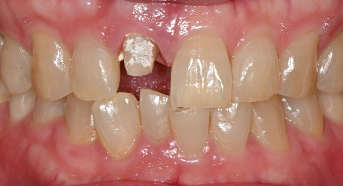
  • 오브제:로 (무삭제 라미네이트)

    자연치아 삭제를 최소화하면서도 빛 투과·색감·표면결까지 정교하게 구현하는 초정밀 라미네이트입니다.

  • 올세라믹

    치아 전체를 정밀하게 삭제한 뒤 도자기 재질로 코팅하는 방식으로, 자연치에 가까운 투명도와 색감을 지녀 심미성이 뛰어납니다

  • 지르코니아

    생체 친화적인 고강도 세라믹 소재로, 앞니는 물론 어금니까지 적용 가능하며 알레르기 걱정 없이 금속에 준하는 내구성과 높은 빛 투과도를 갖추고 있습니다.

신경치료 후 변색된 치아,
내부에서부터 밝히는
맞춤 미백

실활치(신경이 없는 치아)는 시간이 지나며 내부에서부터
어두운 회색으로 착색되는 경향이 있습니다. 서울오브치과병원은 전문가용 미백제와
단계별 충전 방식을 활용하여
치아 내부에서부터 자연스러운 생상 회복을 유도합니다.

서울오브치과병원 실활치 미백의 노하우
치관 내 약제 충전 방식 적용
→ 신경치료 후 내부 공간에 미백제를 주입해 점진적 색상 개선
단계별 농도 조절 및 반복 적용
→ 치아 상태에 따른 맞춤 처방으로 과한 부작용 없이 관리
최소 보철처리 유도
→ 외부 보철 없이, 원래 치아를 살리며 회복 가능

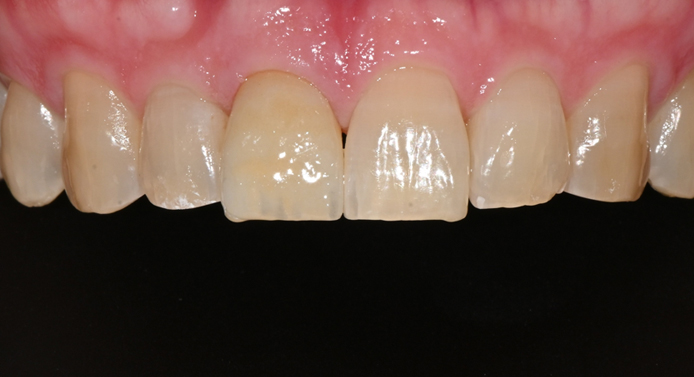
치아 전체의 밝기 · 투명도를 개선하는 치아미백

서울오브치과병원의 전문가 미백은
일반 미백제나 셀프 키트와 달리, 의료진의 정밀 진단과 맞춤 처방을 기반으로 진행됩니다. 치아 본연의 색을 해치지 않으면서도,
단기간에 눈에 띄는 미백 효과
를 경험하실 수 있습니다.

서울오브치과병원 전문가 미백,
왜 다른가요?
진단 기반 맞춤 설계
→ 미백 전 구강상태, 착색 원인, 치아 두께 등을 정밀 분석
→ 민감도와 치아 상태에 따라 미백 강도 조절
전문 약제 & 고출력 LED 시스템
→ 치과 전용 미백제 + 특수광을 활용해 짧은 시간, 강한 효과
→ 치아 손상 최소화, 부작용 걱정 ↓
치과의사 직접 시술
→ 의료진이 직접 약제 도포 및 광 조사
→ 민감도 관리, 잇몸 보호제 적용으로 안정성 확보

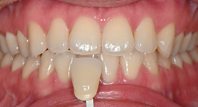
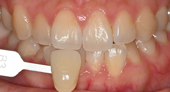
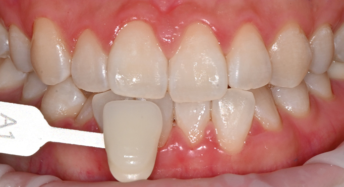
미백 전·후 색상 변화 쉐이드 가이드로 직접 확인해보세요!

서울오브치과병원에서는 미백 시술 전후에
쉐이드 가이드(치아 색상표)를 활용해 객관적인 색상 변화를 직접 확인할 수 있도록 안내드리고 있습니다.

치아색은 A1부터 D4까지 총 16단계로 구분 짓습니다. B1에 가까울수록 자연치의 밝은 색이며, C4에 가까울수록 어두운 색에 해당됩니다. 20~30대 연령층의 평균적인 치아색은 A2정도이며, A3부터는 어두운 치아색에 속합니다. 일반적으로 치아 미백은 A1 혹은 B1 색상을 목표로 진행 합니다.

BEFORE / AFTER

를 움직여 실제 비포 & 애프터 변화를 직접 확인해보세요

서울오브치과병원은
삼전역 3번 출구 바로 앞에 있습니다.

오시는 길

서울특별시 송파구 백제고분로 196, 4층·5층 (삼전동)

주차

1) 건물 뒷편 주차장, 제휴 주차장 이용

2) 네비게이션 서울오브치과병원 검색

대중교통

1) 지하철 9호선 삼전역 3번 출구 바로 앞

2) 수서역(SRT)에서 택시로 9분 (4km)

3) 동서울터미널에서 지하철 15분 (5km)

전화상담 및 예약문의
진료시간
    • 평일

    • AM 09:30 ~ PM 08:30

    • 주말/공휴일

    • AM 09:30 ~ PM 02:00

    • 점심시간

    • PM 12:30 - PM 02:00

※ 토/일/공휴일 점심시간 없이 진료합니다.
네이버 예약 카카오 상담