치과마취과 파견의사 & 서울대학교병원 응급실 파견 의료진 상주
치과마취과에 파견 경력이 있는 의료진이 상주하여 혹시 모를 응급상황에도 대처가 가능합니다.
서울오브치과병원은
치아의 뿌리(픽스처), 기둥(지대주), 머리(보철물)
전 부위를 프리미엄 정품으로 구성하여
더 오래, 더 튼튼하게, 더 자연스럽게 임플란트를 완성합니다.
혁신적인 표면처리 기술로 뼈손실 최소화! 자연치아와 유사한 우수한 저작력! 서울오브치과병원은 오스템을 사용합니다.
스위스 기술력으로 완성된 정밀한 골유착과 내구성 심미성과 안정성 모두 갖춘 프리미엄 임플란트! 서울오브치과병원은 스트라우만을 사용합니다.
기성 지대주는 잇몸에 잘 맞지 않아 음식물이 끼기 쉽습니다.
환자 맞춤형 지대주는 들뜸 없이 밀착되어
음식물 끼임 80% 감소 → 주위염 예방에 효과적입니다.
서울오브치과병원은 개인별 맞춤형 지대주를 사용합니다.
담당 의료진과 베테랑 기공사가 소통을 통해
원래 내 자연치아같은 정교하고
섬세한 개인 맞춤형 보철물을 제작합니다.
서울오브치과병원에서는
발치 → 뼈이식 → 임플란트 식립까지
하루에 가능한 시스템을 갖추고 있습니다.
가장 뼈가 잘 만들어질 수 있는 시점에 맞춘 치료가 가능합니다.
※ 단, 환자마다 잇몸뼈 상태가 다르기 때문에 정밀 진단 후 시술 가능 여부를 결정합니다.
고가의 장비와 체계적인 시스템을 구축하였습니다.
원내에서 가이드 및 필요한 보철물을 바로 제작하여 시간을 단축하였습니다.
서울대 출신 구강외과/보철과 전문의가 협진하여 책임 식립해드립니다.
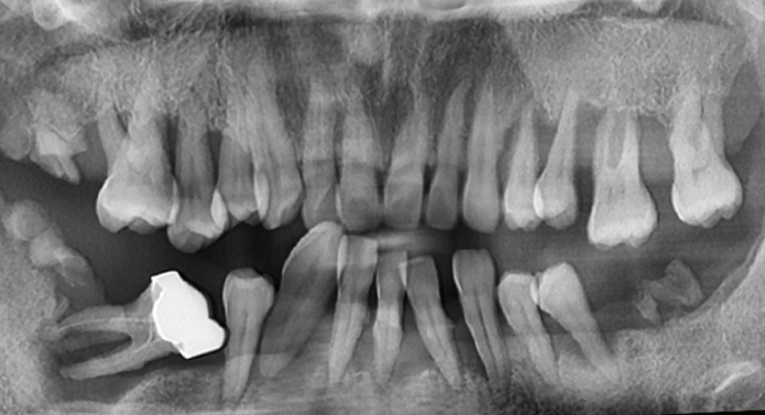
발치 즉시 임플란트로
숙련된 의료진이
정교하게 맞춤 식립해드립니다.
뼈가 부족한 경우에도 가능한 임플란트 솔루션 임플란트를 식립하려면 일정량 이상의 턱뼈가 필요합니다. 하지만 골다공증, 치주질환, 발치 후 방치 등으로 뼈가 부족하거나 얇아져 있는 경우엔 뼈이식이 필요합니다.
환자 개개인에 맞는 뼈이식 방식 선택 (동종골, 상악동 거상술, 자가골이식 등)
3D CT 분석으로 이식 범위·각도 사전 계획
이식 시 감염 및 재흡수 최소화를 위한 레이저 병행
수술 후 철저한 회복 및 약물 관리
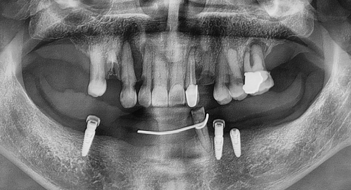
흔들리는 임플란트를 새로 식립하고 필요에 따라 뼈이식을 진행합니다.
염증 치료 및 뼈이식 수술을 통한 잇몸뼈 보강합니다.
교합과 심미성을 고려하여 새로운 보철물 수복합니다.
전신질환을 가진 환자도 안심하고 치료받을 수 있도록, 협진 기반의 정밀 진단과 맞춤 치료를 제공합니다.
출혈 및 마취 중 혈압 급상승
감염 및 회복 지연 위험
출혈, 골밀도, 회복력 등 전반적 부담
서울오브치과병원은
이러한 질환별 특성을 정밀하게 파악하고 있는
구강외과 전문의와 사전에 철저한 문진과
의료진 협진, 디지털 진단을 통해
환자에게 가장 안전한 방법과 최적의 결과를 위해 최선을 합니다.
임플란트 성공을 위한 저희의 진심된
노력과 열정을 전달 드리겠습니다.
보건복지부가 지정한 병원급 치과로, 전신질환 환자도 안심할 수 있는 시설과 시스템을 갖추고 있습니다.
전신질환의 특성을 정확히 이해하고 있는 구강외과 전문의가 시술을 주도합니다.
대학병원에서도 사용되는 환자 모니터링 장비를 이용한 수술 시스템
만성질환 환자분들을 위한 혈액 검사 입안 혹, 알 수 없는 구내염 증상이 있는 경우 당일 조직 검사를 진행합니다.
수술 후 통증을 감소하고 회복을 촉진하는 수액, 수면치료 후 휴식을 취할 수 있는 회복실을 보유하고 있습니다.
119 응급의료 협력기관, 응급실 경력 의료진 상주로 만일의 상황에도 빠르게 대응합니다.
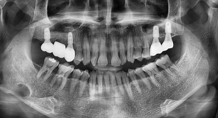
문제가 생긴 보철물(크라운·브릿지 등)만 정밀하게 제거하고
새롭게 제작·장착하는 고난도 치료입니다.
단순한 탈락이나 파절이 아닌 교합력 문제,
지대주 헐거움, 잇몸 염증 등
다양한 원인을 정확히 분석하고 교정하는 것이 핵심입니다.
※ 결국 임플란트를 다시 심어야 하는 상황까지 발생할 수 있습니다.
전체 임플란트는 상·하악 전체 치아가 상실되었을 때, 디지털 정밀 진단 → 최소한의 심기 → 고정형 보철 연결을 통해 자연 치아 기능과 심미성을 회복하는 디지털 기술력 기반의 치료입니다.

골 상태가 좋지 않아도 빠르게 고정되는 특수 나사 디자인
습기에 반응하는 초친수성 표면으로 골세포의 부착과 골유착을 획기적으로 향상
발치즉시, 즉시 부하, 뼈 질이 약한 고령환자까지 다양한 조건에서도 우수한 안정성 확보
전 세계 70개국 이상에서 사용되는 프리미엄 브랜드 SCI 논문 다수, 임상 연구로 효과 입증

서울오브치과병원의 의식하 진정 수면 치료를 통해
편안하고 안정감 있는 치료를 약속드리겠습니다.
의식하 진정요법이란?
가수면 상태를 유도하여 치과치료에 대한
공포와 긴장, 통증을 줄여주기 위한 방법입니다.
전신마취 |
VS |
수면마취(의식하진정법) |
무의식 상태 |
수면 깊이 |
가수면 상태 |
인공호흡기 필요 |
호흡 |
자발적 호흡가능 |
의식불가 등 있을 수 있음 |
부작용 |
부작용 없음 |
1일 이상 소요 |
회복 |
1일 이상 소요 |
치과마취과에 파견 경력이 있는 의료진이 상주하여 혹시 모를 응급상황에도 대처가 가능합니다.
대학병원에서 사용하는 모니터링 장비 구축을 통해 전문인력의이 환자상태 실시간으로 모니터링합니다.
수면치료 후 편안한 회복실에서 휴식이 가능합니다.
를 움직여 실제 비포 & 애프터 변화를 직접 확인해보세요
서울특별시 송파구 백제고분로 196, 4층·5층 (삼전동)
주차1) 건물 뒷편 주차장, 제휴 주차장 이용
2) 네비게이션 서울오브치과병원 검색
대중교통1) 지하철 9호선 삼전역 3번 출구 바로 앞
2) 수서역(SRT)에서 택시로 9분 (4km)
3) 동서울터미널에서 지하철 15분 (5km)
평일
AM 09:30 ~ PM 08:30
주말/공휴일
AM 09:30 ~ PM 02:00
점심시간
PM 12:30 - PM 02:00